

ANTALYA'DA ULUSLARARASI UYUŞTURUCU MADDE TİCARETİ YAPAN 2 ŞAHIS, HAVALİMANINDA YAKALANDI. ÜZERLERİNDEN UYUŞTURUCU MADDE ÇIKMAYAN ŞÜPHELİLER, CİHAZA SOKULUP İÇ MUAYENELERİ YAPILDIĞINDA İSE 35 KAPSÜL EROİNİ YUTTUKLARI ANLAŞILDI. ŞÜPHELİLERİN HAVALİMANINA GİRİŞLERİ, YAKALANMALARI VE MUAYENE ANLARI KAMERALARA YANSIDI.

Antalya’da uluslararası uyuşturucu madde ticareti yapan 2 şahıs, havalimanında yakalandı. Üzerlerinden uyuşturucu madde çıkmayan şüpheliler, cihaza sokulup iç muayeneleri yapıldığında ise 35 kapsül eroini yuttukları anlaşıldı. Şüphelilerin havalimanına girişleri, yakalanmaları ve muayene anları kameralara yansıdı.
Antalya Emniyeti, başarılı bir uyuşturucu operasyonuna daha imza attı. Narkotik Suçlarla Mücadele Şube Müdürlüğü ekipleri S.S. ve F.M.K. isimli şahısların İran ülkesinden Van’a geçtiği ve uyuşturucu maddeyi yutma yöntemi ile Antalya’ya gelip kentte bunları torbacı olarak tabir edilen uyuşturucu satıcıları aracılığı ile piyasaya sürecekleri yönünde bilgi edindi. Bunun üzerine operasyon düğmesine basan ekipler Antalya Havalimanında S.S. ve F.M.K’yi yakaladı.
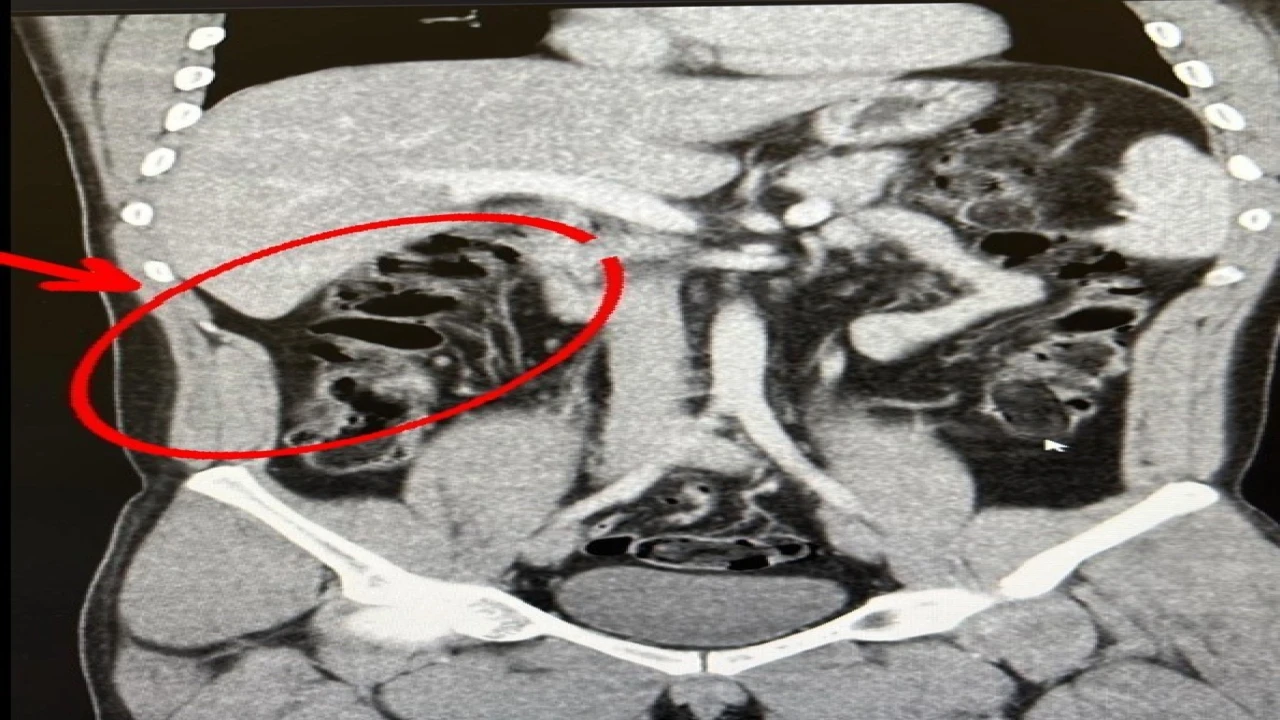
Filmleri çekildi, kapsüller ortaya çıktı
S.S. ve F.M.K. isimli şahısların hastanede yapılan iç beden muayenesi sonucunda 35 kapsül halinde toplam 278 gram eroin maddesi ele geçirildi. Şüphelilerin havalimanındaki görüntüleri, yakalandıktan sonra muayene edilme anları ve yuttukları kapsüllerin yer aldığı film sonuçları kameralara yansıdı. 2 şüpheli, "uyuşturucu veya uyarıcı madde ticareti yapmak ve sağlamak" suçundan adli makamlarca tutuklandı.
















































Yorum Yazın